В этой статье мы рассказываем о вирусных гепатитах и о Всемирном дне борьбы с гепатитом. ...
Медицинские обследования важны, причем любые и даже, когда человек не болеет. Сегодня разберемся, что такое чекап и зачем он нужен для человека ...
Функциональное питание - новое словосочетание, которое еще не вошло на рынок России. Тем не менее, это достаточно интересная тема, которую сейчас изучают много и кропотливо. Давайте разберемся, что же это такое и почему такое питание важно для здоровья? ...
Как бороться с самыми страшными последствиями укуса клеща. Ученые из Сибири нашли способ. Какой — читайте в статье. ...
Кашель может быть ключом к диагностике туберкулеза: новое приложение для смартфонов, TBscreen, использует алгоритмы машинного обучения для анализа звуковых паттернов кашля и может помочь в раннем выявлении заболевания. В публикации подробно рассказываем о том что это за приложение и как ...
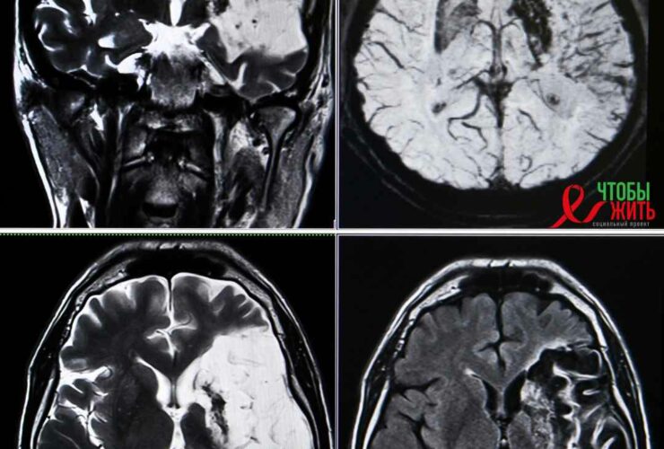
Ученые открыли способ, как предсказать, что скоро у человека может случиться инсульт. Подробнее рассказываем в этом материале. ...
Исследователи из Гонконгского университета (HKUMed) обнаружили, что новая ДНК-вакцина может вызывать устойчивый иммунитет CD8+ Т-клеток у макак-резусов, инфицированных вирусом иммунодефицита обезьян (SHIV). Вакцинированные животные имели подавленную вирусную нагрузку в течение шести лет без применения антиретровирусной терапии (АРТ). Это может стать ...
Проект "Низкопороговый центр профилактики ВИЧ", реализованный Автономной некоммерческой организацией "Социальный проект "Чтобы Жить", вошел в сборник кейсов "Электронная библиотека лучших практик работы некоммерческого сектора в муниципальных образованиях Свердловской области" ...
Желудок в грудной полости — представляете, возможно и такое! Что это, и как появляется — написали уже в этом материале. ...
Дроны-доставщики лекарств, как вам такое? Будущее ближе, чем нам кажется, и в сегодняшнем материале мы в этом убедимся. ...









